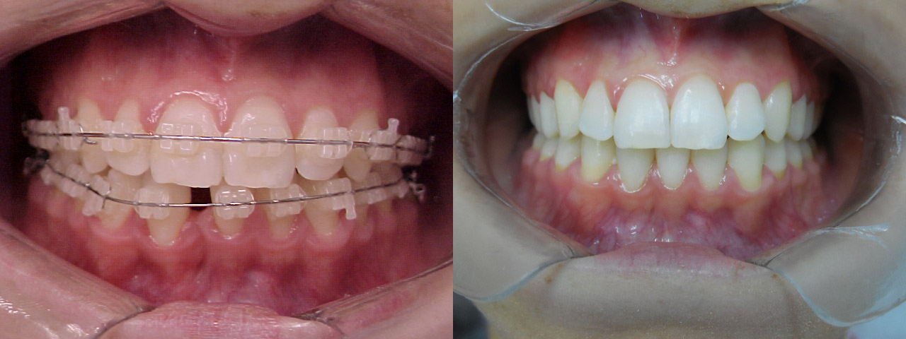
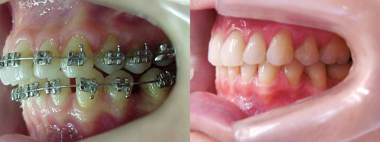
Está em busca de um ortodontista em Brusque? O Dr. Rafael Kistenmacher é especialista em Ortodontia e Ortopedia Dentofacial desde 2001, com mais de duas décadas de experiência em transformar sorrisos com excelência técnica e atenção personalizada.
Atende crianças, adolescentes e adultos, oferecendo soluções ortodônticas modernas, como aparelhos fixos e alinhadores transparentes Invisalign, sempre com foco em saúde bucal, estética e bem-estar do paciente.

Principais Indicações de Tratamento Ortodôntico
A ortodontia vai muito além da estética: ela é essencial para o bom funcionamento da mordida, da mastigação e até da respiração. Entre os principais problemas tratados estão:
- Dentes tortos ou desalinhados
- Apinhamento dentário (falta de espaço)
- Diastemas (espaços entre os dentes)
- Mordida cruzada (posterior ou anterior)
- Mordida aberta
- Mordida profunda
- Desvios na linha média
- Problemas de crescimento ósseo em crianças e adolescentes
- Correção de hábitos orais nocivos (como chupeta ou respiração bucal)
Por que escolher o Dr. Rafael Kistenmacher?
Escolher um dentista especialista em ortodontia é fundamental para o sucesso do tratamento.
- Especialista em Ortodontia desde 2001
- Atendimento humanizado e individualizado
- Consultório moderno, em localização central de Brusque
- Soluções para todas as idades com foco em estética e funcionalidade
- Técnicas modernas e atualizadas

